If you’re more interested in learning about straightening mildly misaligned teeth with clear aligners, Dr. Rick and Dr. Sully can help! Teeth alignment with our clear aligners is discreet and comfortable. You don't have to worry about how they'll impact your lifestyle because they can be easily removed while eating, brushing, and flossing or for special events.
If you choose clear aligners, we will start by developing a plan to establish the ideal positioning of your teeth. These specifications are then sent to a high-quality dental lab, where your new aligners will be fabricated.
In a couple of weeks, you will return to our office, and you will receive a series of new aligners along with instructions for their use. Simply wear each set of aligners for about two weeks, then move on to the next in the series. You’ll stay motivated because you will actually be able to see the gradual progress each time you change aligners. Treatment times with clear aligners average about twelve months for adults. Teens can expect treatment times similar to traditional orthodontics.
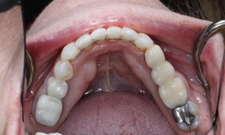
After clear aligner therapy, your Nashville dentist provides a retainer to help prevent orthodontic relapse. It's important to wear your retainer according to your dentist's instructions to keep your teeth in their new straight positions.