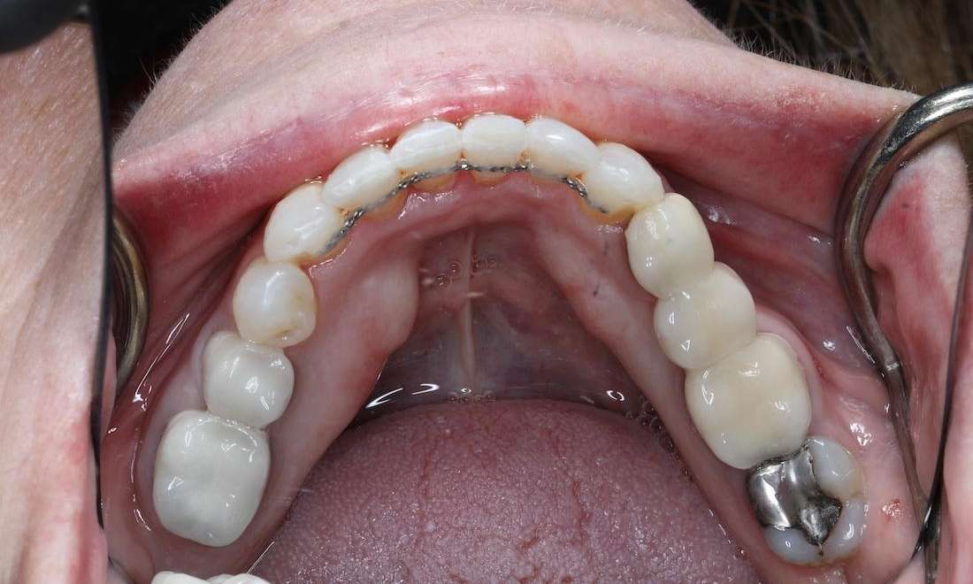
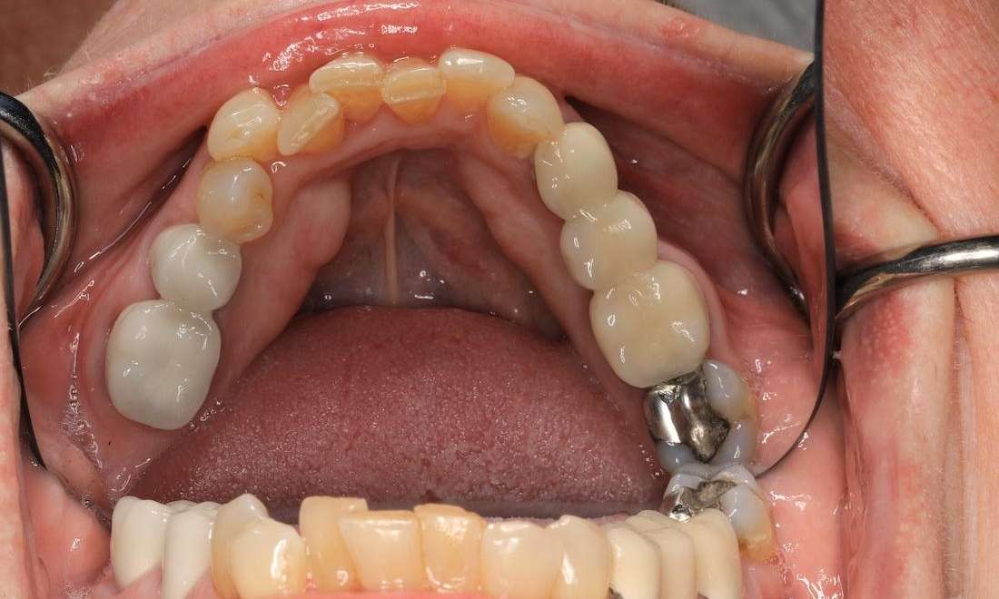
Cosmetic Crowns & Invisalign

Our dentists used invisible braces with Invisalign to align this patient's teeth. Then they finished their smile with aesthetic porcelain crowns to deliver their bright, beautiful dream smile!

Invisalign is ideal for busy adults who'd like to straighten their teeth with discretion and ease. 

Our dentists are certified Invisalign providers who can help determine if invisible braces in Brentwood can help you meet your smile goals. 

Related Services:

Clear Aligner Therapy
View of mouth wide open before cosmetic crowns and invisalign, brentwood tn View of mouth wide open after cosmetic crowns and invisalign, brentwood tn
Invisalign in Brentwood, TN- Before Photo Invisalign in Brentwood, TN- After Photo
Improve your smile today – call to schedule a consultation!