Skip to main content
Sullivan Dental Partners
Sullivan Dental Partners
Book an Appointment
Like us on Facebook
Visit us on Yelp
Watch our Youtube Videos
Leave a Google Review
Instagram
(615) 373-1012
5015 Harpeth Dr. Brentwood, TN 37027
Make A Payment
Home
About Us
Our Team
Dr. Richard Sullivan, III
Dr. Richard Sullivan, IV
Dr. Amber Bandy
Dr. Sarah Pierce
Dr. Bilal Zahoor
Careers
Modern Amenities
Office Tour
In-House Lab
View All
CEREC Milling Units for Crowns
3D Printers
General Dentistry
View All
Same Day CEREC Crowns
Dental Cleanings and Exams
Implants
View All
Snap-In Dentures
Individual Dental Implants
All-on-X Implant Dentures
Cosmetics
View All
Porcelain Veneers
Full Mouth Reconstruction
Clear Aligner Therapy
Advanced Services
Advanced Services
View All
Wisdom Teeth Removal
Soft Tissue Grafting
Sleep Apnea
Sedation Dentistry
Root Canals
Pinhole Gum Recession Treatment
Periodontal Treatment
Oral Surgery
Lip & Tongue Tie
LANAP™ Laser Gum Treatment
Smile Gallery
Patient Info
View Patient Info
Testimonials
Your First Visit
Post Op Instructions
Financing and Insurance
FAQs
Blog
Contact
Sullivan Dental Partners
>
Smile Gallery
>
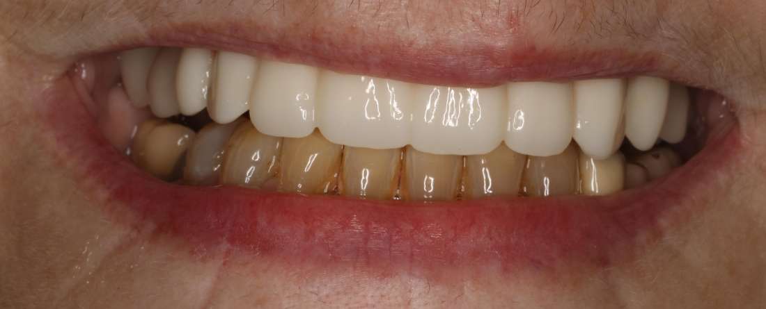
All-on-X Implant Denture
All-on-X Implant Denture
Return to Smile Gallery
Previous
Next
Related Services:
All-on-X Implant Dentures
Dental Implants
Drag the arrows back and forth to view complete Before and After views
Getting an appointment is
fast
and
easy
!
Get Started!
OK!
×
×
Contact Us Today
Give Us A Call
Sullivan Dental Partners -
(615) 373-1012
Send Us an Email
Ready to Schedule an Appointment?
Book Online
RSVP to our Upcoming Event or Contact Us:
Required Field
Your Name:
Phone:
Email:
Are you a new patient?:
Are you a?
New Patient
Current Patient
How would you like us to contact you?
Please choose
Email
Call
Text
How did you hear about us?
Please choose
Existing Patient
Google Search
Friend/Family
Facebook Page
Drive-by/Walk-by
Yelp
Our Website
Commercial
Online Reviews
Instagram
Insurance Co.
Other - Please Specify
Who Referred You?:
Your Message:
This site is protected by reCAPTCHA and the Google
Privacy Policy
and
Terms of Service
apply.
Sending...
×
This Patient's Experience
Loading Testimonial...
Loading Case...