Cosmetic Crowns to Reduce Gummy Smile and Add Uniformity

Have you ever felt like you had a "gummy" smile?

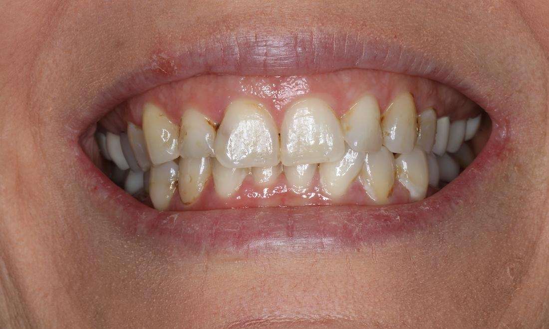
This patient found her best smile with cosmetic CEREC crowns in Brentwood that reduced the gum tissue seen when she smiles and added a more uniform and symmetric appearance to her smile. Not to mention brightening it!

Learn More About Cosmetic Dentistry in Brentwood, TN

If you'd like to achieve your best smile, you can learn what's possible by calling our team at (615) 373-1012 or booking your appointment online. 

Related Services:

Same Day CEREC Crowns
Woman smiling before cosmetic crowns, brentwood tn Woman smiling after cosmetic crowns, brentwood tn
Close up of womans smiling before cosmetic crowns, brentwood tn Close up of womans smiling after cosmetic crowns, brentwood tn
Have Questions? Get in Touch