Cosmetic Crowns

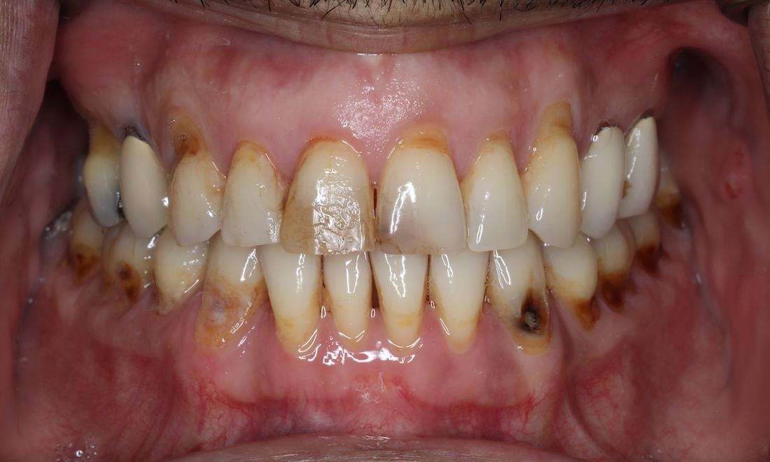
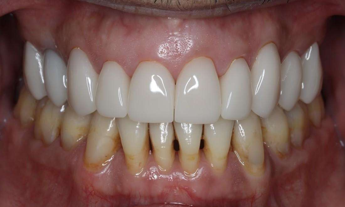
Tooth decay and periodontal disease plagued this patient's smile when he first came to us. Periodontal treatment, gum contouring, and porcelain crowns and veneers restored his teeth and helped him smile confidently again. 

Contact Your Brentwood Cosmetic Dentist to Learn More

If you're living with compromised teeth, contact your team at Sullivan Dental Partners online or by calling (615) 373-1012.

Related Services:

Same Day CEREC Crowns
Close up of mans mouth with black facial hair before cosmetic crowns, brentwood tn Close up of mans mouth with black facial hair after cosmetic crowns, brentwood tn
Close up of mans gums before cosmetic crowns, brentwood tn Close up of mans gums after cosmetic crowns, brentwood tn
Have Questions? Get in Touch