Cosmetic Crowns

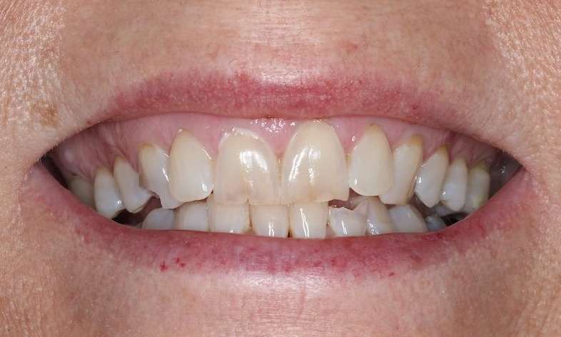
Can you believe this patient enjoyed her new smile on the same day as treatment? With CEREC crowns, we design and create restorations for your enhanced smile while you wait. So you'll leave our dental office with teeth you can feel proud of and rely on for comfortable chewing and eating. 

Do You Need a Dental Crown in Brentwood, TN?

Contact Sullivan Dental Partners to learn more about how we can help you!

Related Services:

Same Day CEREC Crowns
Close up of white womans mouth before cosmetic crowns, brentwood tn Close up of white womans mouth after cosmetic crowns, brentwood tn
Potrait layout of blonde woman before cosmetic crowns, brentwood tn Potrait layout of blonde woman after cosmetic crowns, brentwood tn
Ready to book an appointment?