Cosmetic Crowns

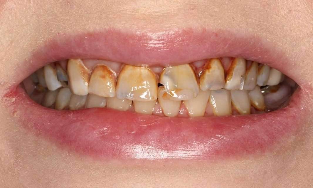
Tooth decay plagued this patient's smile, but cosmetic crowns eliminated the damage and delivered a smile they can be proud of!

Porcelain crowns in Brentwood cover a tooth from top to bottom, protecting the integrity of your natural tooth structure while delivering the function and aesthetics you want. 

Are Dental Crowns a Solution for Your Smile?

You can learn how we can help you achieve your best smile by booking an evaluation online or calling our team at (615) 373-1012.

Related Services:

Same Day CEREC Crowns
Close up of middle aged womans mouth before cosmetic crowns, brentwood tn Close up of middle aged womans mouth after cosmetic crowns, brentwood tn
Brentwood Crowns- Before Photo Brentwood Crowns- After Photo
Have Questions? Get in Touch