Dental Bridge

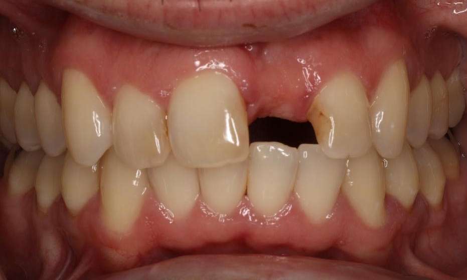
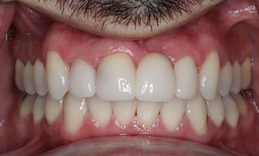
This patient presented with a missing front tooth. We used a dental bridge to replace it. We started with professional teeth whitening to lighten their teeth. Then, we could enhance their smile with a bridge shaded to flawlessly blend with their teeth. 

A bridge uses crowns that anchor to the healthy teeth on either side, which support a prosthetic tooth in the middle. 

We Have Solutions for Your Smile!

Whether you're missing a tooth or living with damaged or decayed teeth, our Brentwood cosmetic dentists can help. Book an evaluation online or by calling (615) 373-1012.

Related Services:

Same Day CEREC Crowns
Close up of mouth before dental bridge, brentwood tn Close up of mouth after dental bridge, brentwood tn
Getting an appointment is fast and easy!