Dental Implants

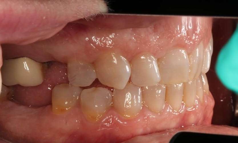
This patient was missing a molar and pre-molar, the workhorses for comfortable chewing. Without these stronger teeth at the back of your mouth, it becomes difficult to properly chew and eat your food.  

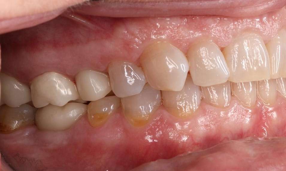
Two dental implants saved the day by replacing both their root and tooth so this patient can comfortably chew their food again. 

Learn More About Dental Implants in Nashville, TN

You can determine if tooth implants are right for your smile by booking an evaluation with our dentists online or by calling (615) 373-1012.

Related Services:

Dental Implants
Close up of mouth before dental implants, nashville tn Close up of mouth after dental implants, nashville tn
Improve your smile today – call to schedule a consultation!