Dentures

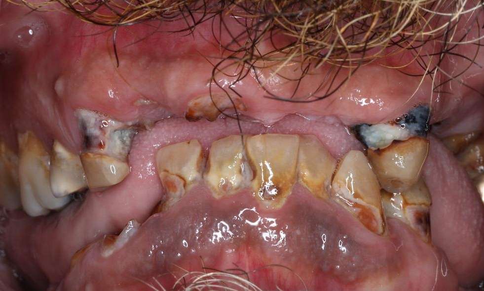
This patient was unable to chew or eat his food without discomfort due to rampant decay and missing teeth. 

Upper and lower complete dentures in Brentwood restored this patient's chewing function, smile, facial structure, and confidence, taking years off of his appearance!

At Sullivan Dental Partners, we offer life-changing solutions for your smile, no matter its condition. You can learn more about how we can help you by scheduling an evaluation with one of our dentists online or by calling our team at (615) 373-1012.

Close up of mouth before dentures, brentwood tn Close up of mouth after dentures, brentwood tn
Dentures in Brentwood, TN- Before Photo Dentures in Brentwood, TN- After Photo
Getting an appointment is fast and easy!