Implant Dentures

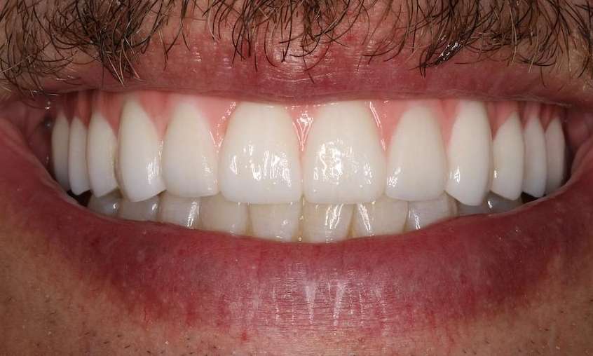
Before implant dentures, this smile was plagued with missing, damaged, and decayed teeth. 

An implant-supported denture in Nashville stabilized this smile, restoring chewing function, facial structure, and aesthetics so this patient could feel confident again. 

Contact Sullivan Dental Partners

Call our team at (615) 373-1012 or book an evaluation online with one of our dentists to learn more about what's possible for your smile. 

Related Services:

All-on-X Implant Dentures
Mans mouth with a mustache before implant dentures, nashville tn Mans mouth with a mustache after implant dentures, nashville tn
Getting an appointment is fast and easy!