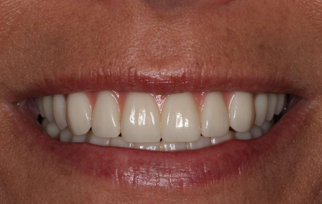
Implant-Supported Dentures

Implant-supported dentures gave this patient back her smile! Not to mention stabilized function for chewing and eating. In addition, implant dentures in Nashville hold dentures securely in place, which gives patients peace of mind knowing they won't slip or move while they're eating or talking. 

Want to Learn More About Implant-Supported Dentures in Nashville, TN?

Contact Sullivan Dental Partners at (615) 373-1012.

Related Services:

All-on-X Implant Dentures
Mouth before implant-supported dentures, nashville tn Mouth after implant-supported dentures, nashville tn
Have Questions? Get in Touch