Implant-Supported Dentures

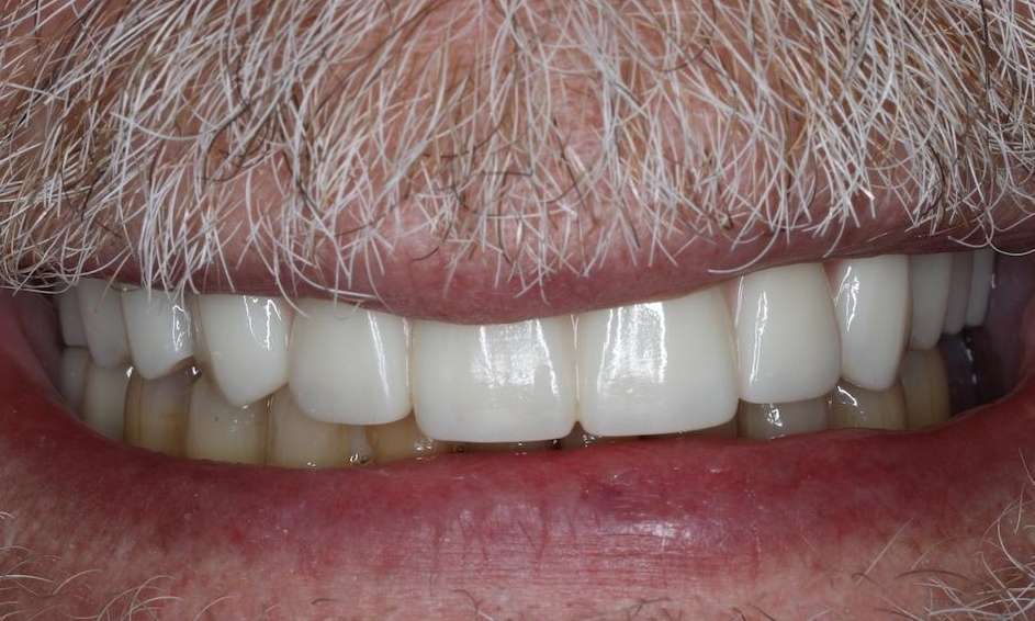
Implant dentures in Nashville restored function and aesthetics to this patient's smile. Now they can bite, chew, and smile with confidence again. 

Dental implants provide the added bonus of protecting your bone health, which means better longevity for your denture. 

Learn More About Implant-Supported Dentures

Book an evaluation with one of our dentists online or speak to our team when you call (615) 373-1012.

Related Services:

All-on-X Implant Dentures
Close of older mans teeth with a white mustache before implant-supported dentures, Nashville tn Close of older mans teeth with a white mustache after implant-supported dentures, Nashville tn
Still need an appointment?