LANAP - Laser Periodontal Treatment

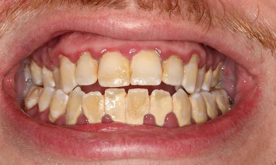
This person suffers from gum disease with red, irritated, and swollen gum tissue. Laser periodontal treatment (LANAP) in Brentwood removed the plaque and tartar buildup causing their infection. 

Learn More About LANAP

You can protect your dental health by scheduling your next preventive teeth cleaning and checkup with your Brentwood dentist. 

Related Services:

LANAP™ Laser Gum Treatment
Close up of mouth before LANAP - Laser Periodontal Treatment, brentwood tn Close up of mouth after LANAP - Laser Periodontal Treatment, brentwood tn
Still need an appointment?