Lingual Tori Removal

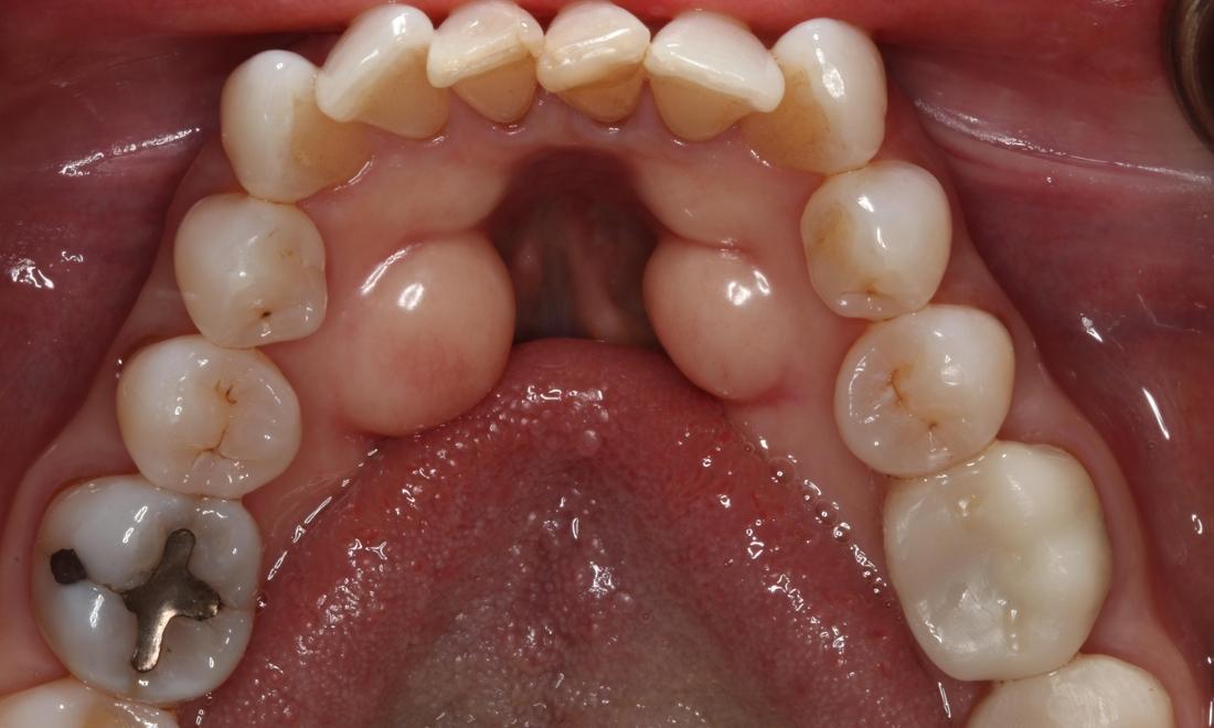
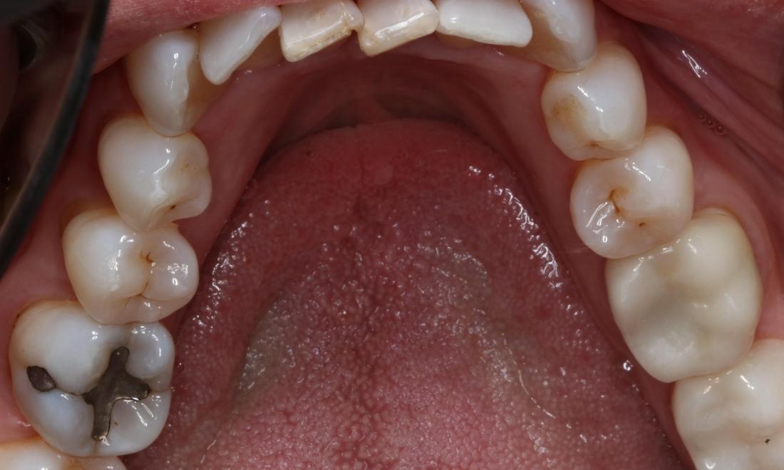
Have you ever noticed or felt a bony protrusion under your tongue that gets in the way when you're eating or having dental xrays taken?  It is called lingual tori and can grow over time if stimulated by force from clenching and grinding. If this is something that bothers you like it did this patient, let us know and we can remove it for you! This will make eating chips and salsa a lot more enjoyable!

Related Services:

Oral Surgery
Advanced Services
Patient before Lingual Tori Removal Patient after Lingual Tori treatment in Brentwood, TN
Not finding what you need?