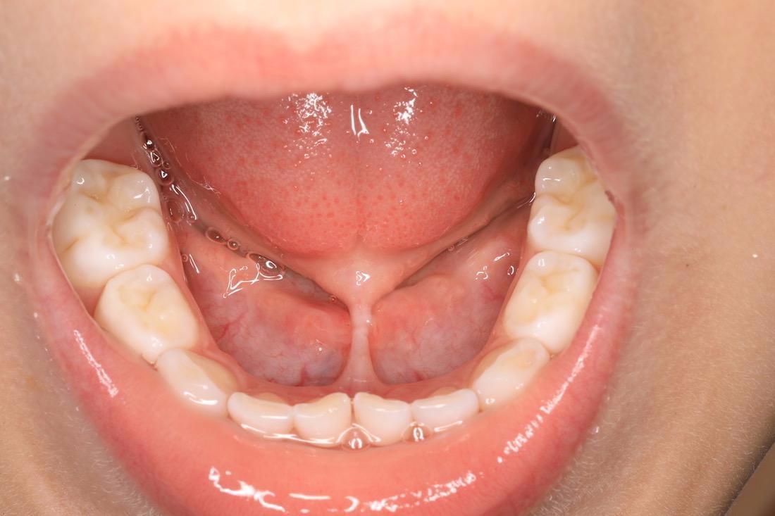
Lip & Tongue Tie

Lip and Tounge Tie treatment was performed on a young patient to help release the tongue and aide in talking and eating comfortably. 

Related Services:

Lip & Tongue Tie
Lip and tongue tie | Sullivan Dental Partners Lip and tongue tie treatment | Sullivan Dental Partners
Still need an appointment?