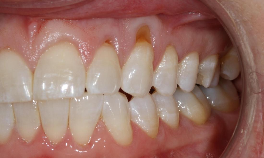
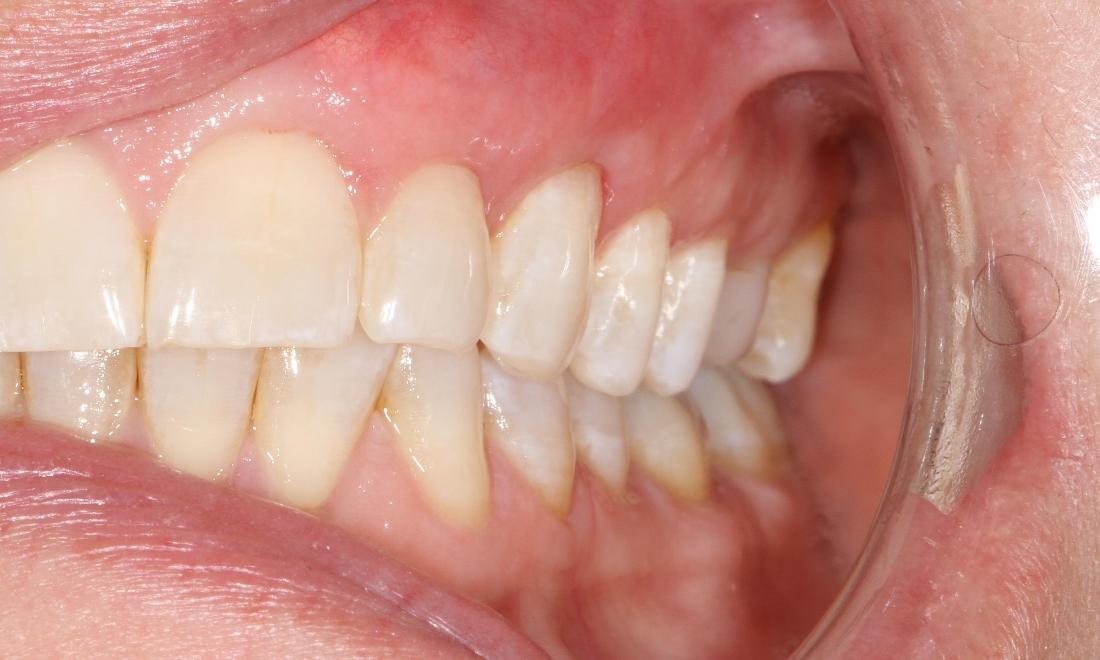
Pinhole Gum Recession Treatment

This is a great example of severe recession on the canine tooth or eye tooth. This is one of my favorite areas to treat because the results are just fabulous. No more chance for root cavities or sensitivity on this patient with a pinhole graft treatment.

Severe gum recession | Sullivan Dental Partners Pinhole graft for gum recession | Sullivan Dental Partners
Ready to book an appointment?