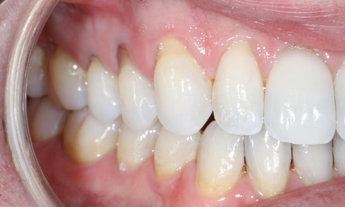
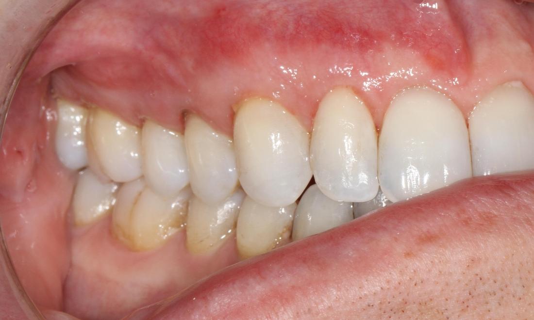
Pinhole Gum Recession Treatment

This patient had his upper right teeth treated with Pinhole. He had very little swelling and no post op discomfort. The exposed root surfaces in the before are now fully covered thanks to this non invasive technique to treat recession.

Upper right teeth with gum recession | Sullivan Dental Partners Pinhole graft for gum recession | Dentist Brentwood TN
Still need an appointment?