Pinhole Gum Recession Treatment

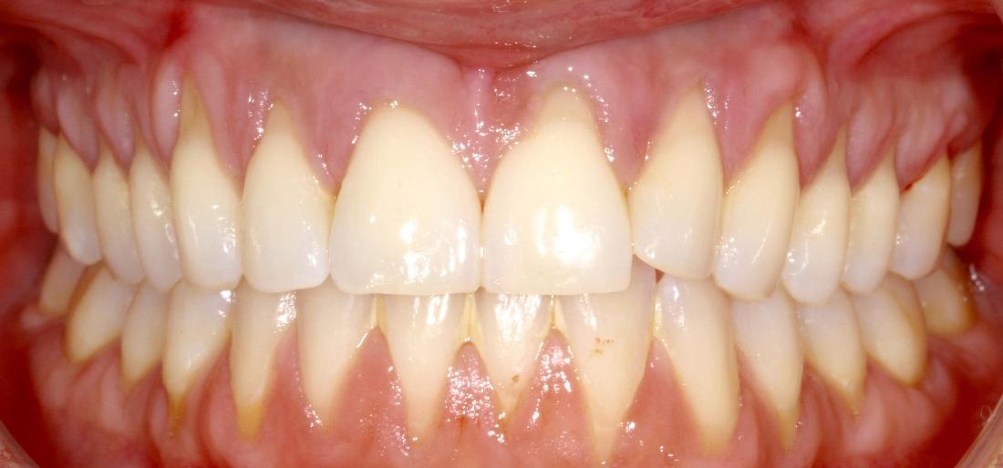
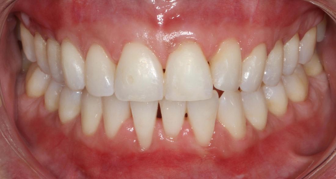
Here is another example of the Pinhole technique. This patient had severe recession on almost every tooth. In one visit we were able to correct this recession with the minimally invasive technique! Check out more on the Pinhole page!

Severe gum recession | Sullivan Dental Partners Pinhole grafting to correct severe recession | Sullivan Dental Partners
Not finding what you need?