Complete Smile Makeover- Root Canals, Crowns, Implants & Sedation

After a long journey to sobriety, this patient was ready to get his mouth healthy along with the rest of his body.  He was ready to smile with his kids again and jumpstart his new career. 

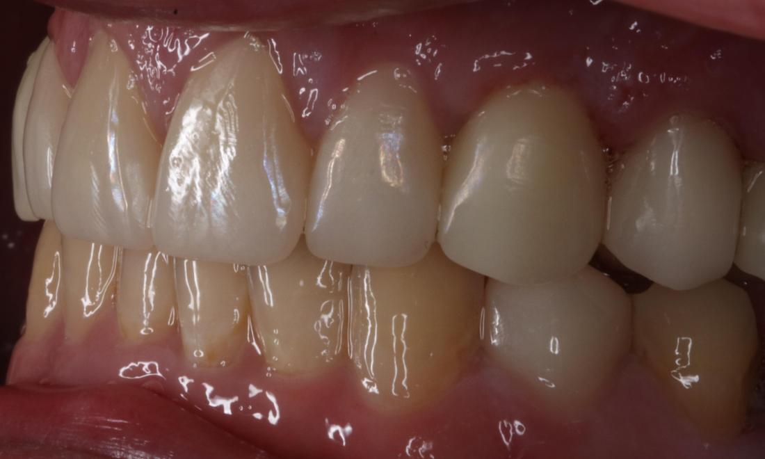
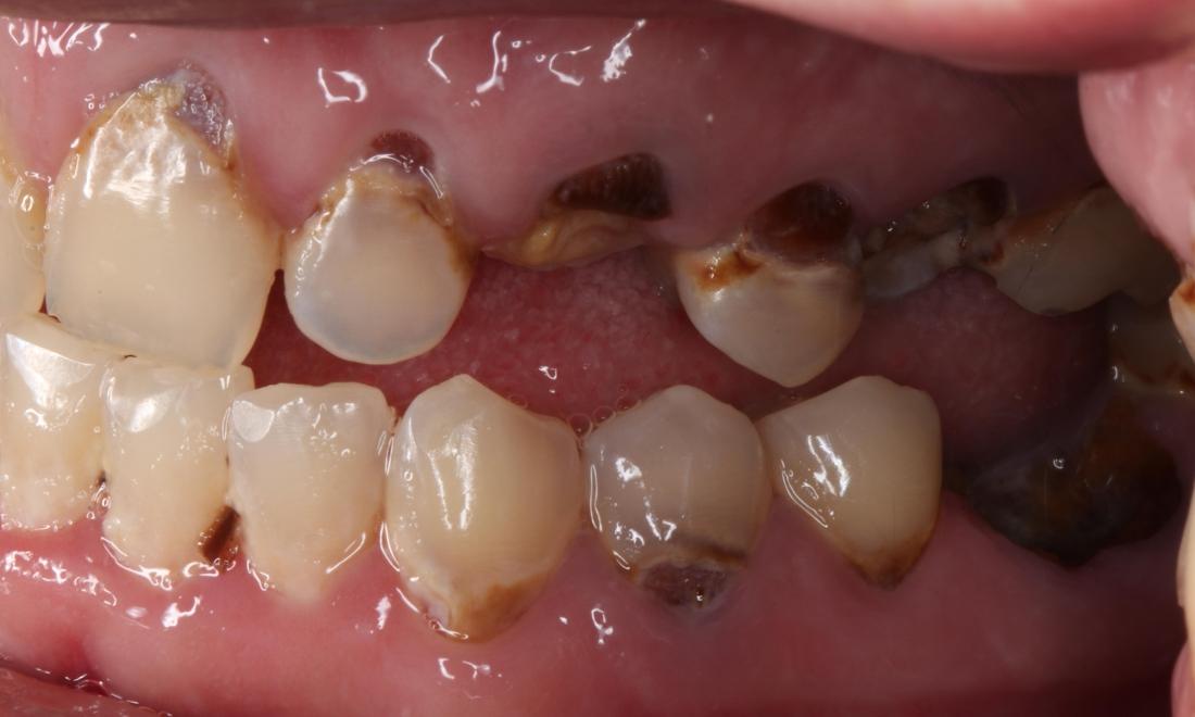
Close up of mouth from a side view before a complete smile makeover, nashville tn Close up of mouth from a side view after a complete smile makeover, nashville tn
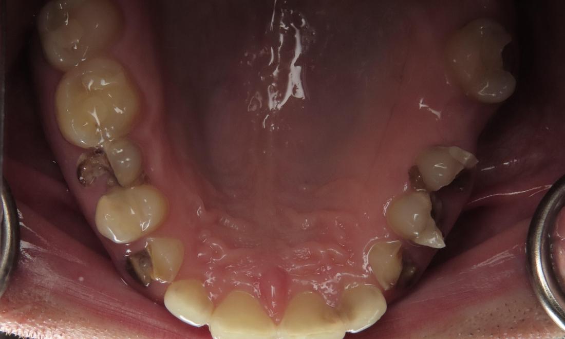
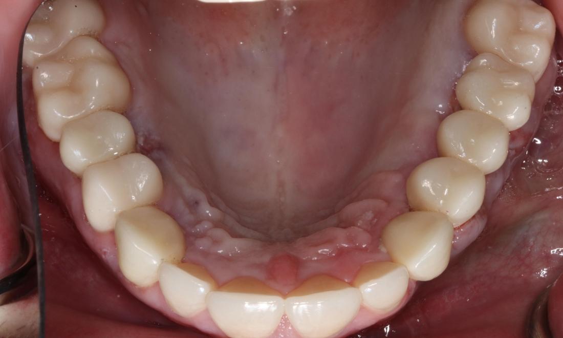
Overhead view of mouth before complete smile makeover, nashville tn Overhead view of mouth after complete smile makeover, nashville tn
Ready to book an appointment?