Six Month Smiles & Clear Aligners

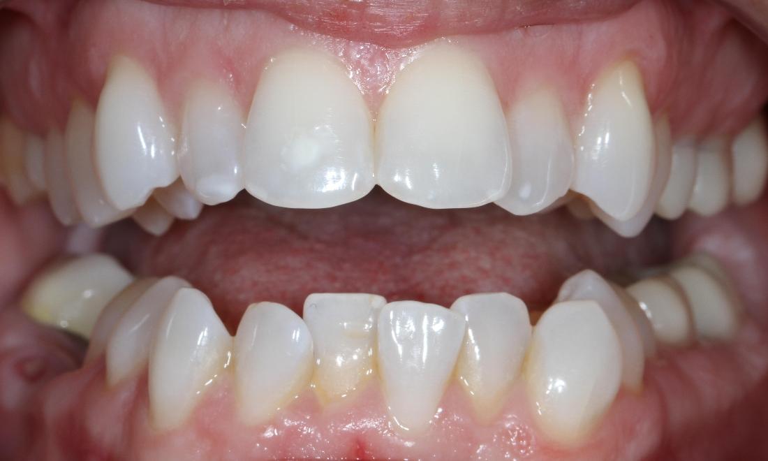
One of my favorite braces patients. She never liked the crowding in her upper and lower teeth. With just 5 and half months in clear braces she got a smile anyone would be proud of! If you have mild to moderate anterior crowding this can be a great way to straighten teeth affordably and quickly!

Related Services:

Clear Aligner Therapy
Crowding of upper teeth | Brentwood TN Dentist Six month smiles used to straighten teeth | Sullivan Dental Partners
Not finding what you need?