Six Month Smiles & Clear Aligners

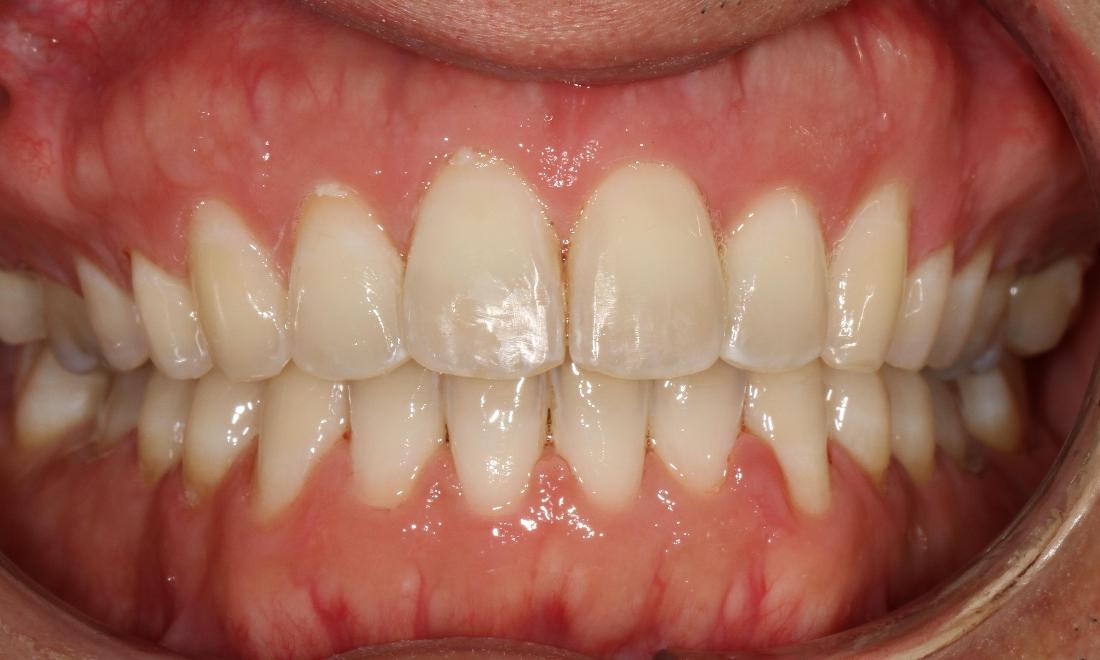
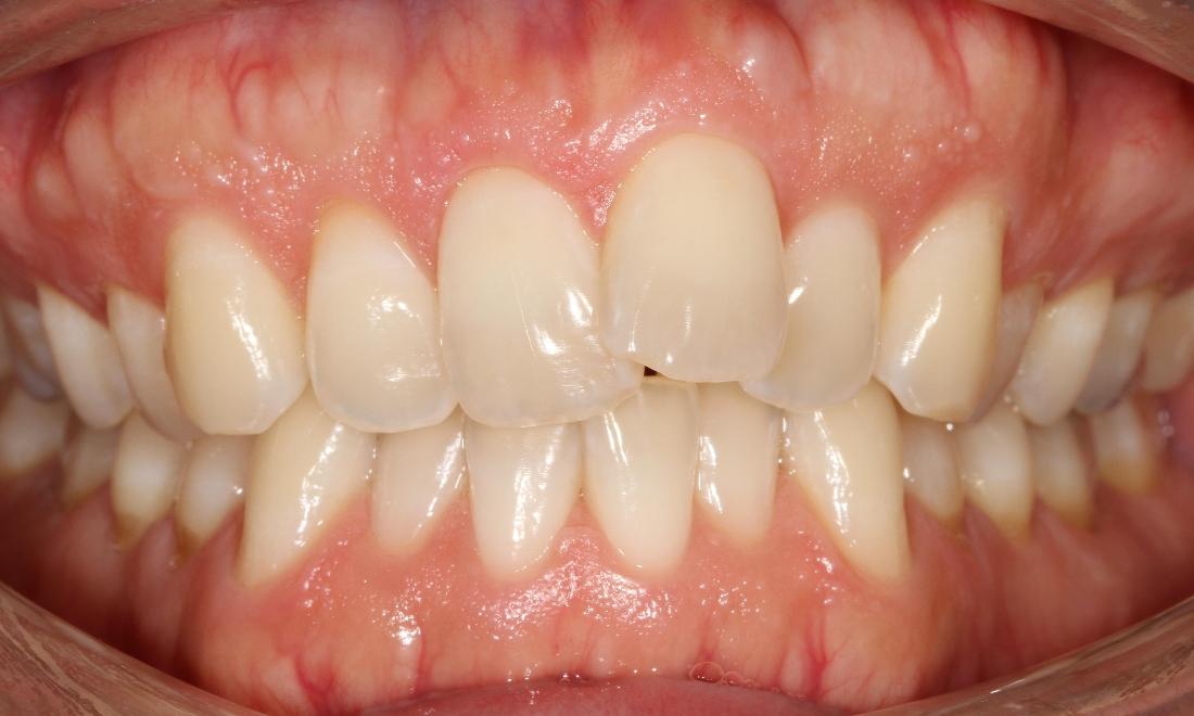
This patient had always had crowding on his two front teeth. He was worried about it getting worse. In just about six months we had his teeth perfectly straight. Best part about it is that the braces are so clear that its like you aren't even wearing anything.

Related Services:

Clear Aligner Therapy
Crowded front teeth | Sullivan Dental Partners Six month smiles to straighten teeth | Dentist Brentwood TN
Still need an appointment?